Simulador de Resonancia Magnética
Recrea la consola de control de una máquina real de Resonancia Magnética, permitiendo al usuario reproducir el flujo de trabajo que se realizaría en una amplia variedad de adquisiciones. Y de forma totalmente online.

Aprende conceptos clave de RM de forma práctica


Configuración del Paciente
Define la posición del paciente, el acceso a la máquina y el uso de bobinas
Simula escenarios reales configurando cómo se posiciona el paciente en la mesa, el modo en que accede al equipo y las bobinas necesarias para realizar la adquisición, preparando al alumno para decisiones clínicas reales.


Selección y Ejecución de Protocolos
Trabaja con protocolos clínicos reales compuestos por series de secuencias
Permite al usuario seleccionar y aplicar protocolos estándar o personalizados, ayudándole a comprender los flujos de trabajo utilizados en contextos clínicos.

Planificación Geométrica
Ajusta con precisión la región anatómica que deseas escanear
Con herramientas intuitivas, los alumnos pueden definir las áreas de interés para la adquisición, aprendiendo la importancia de la planificación en la calidad de la imagen obtenida.



Ajustes de Parámetros de Escaneo
Configura el tiempo de escáner y otros parámetros clave
Explora cómo los diferentes ajustes afectan la calidad y la velocidad de las adquisiciones, una habilidad esencial para optimizar el rendimiento en situaciones reales.

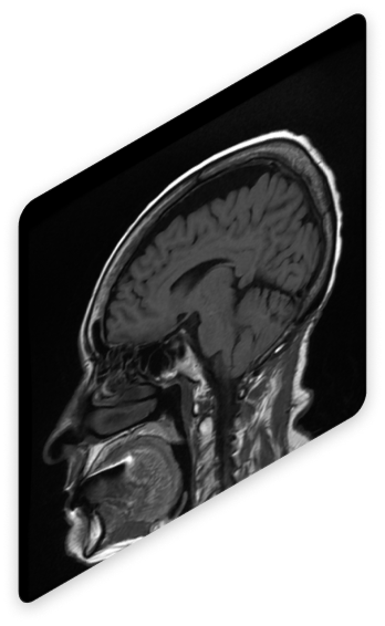
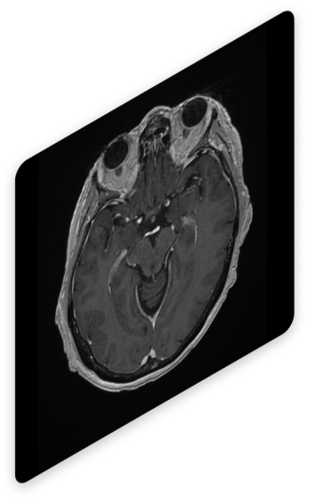
Visualización de las Adquisiciones
Revisa las imágenes adquiridas desde un visor profesional
El simulador incluye un visor integrado que permite interactuar con las imágenes, explorar cortes anatómicos y obtener una comprensión detallada de los resultados.



Comparte tus Adquisiciones
Exporta y comparte los resultados como lo harías en un entorno clínico
Las imágenes generadas pueden descargarse en formato DICOM, facilitando su integración en sistemas PACS para evaluaciones adicionales o simulaciones en otros contextos.












¿Por qué ImagineMRI?
01
Reduce los altos costes económicos y de tiempo y frente a una máquina real
02
Aprende en cualquier momento y desde cualquier lugar
03
Cobertura de distintas regiones anatómicas, patologías y artefactos de imagen
04
Experiencia previa que prepara al usuario antes de enfrentarse a una máquina real
Contenido Educativo Adaptado a tus Necesidades
Catálogo de Ejercicios Prácticos
Un recurso completo para diferentes niveles y objetivos de aprendizaje
ImagineMRI incluye un extenso catálogo de ejercicios prácticos diseñados para integrarse perfectamente en tus cursos, permiten a los alumnos practicar conceptos clave y enfrentarse a retos similares a los que encontrarán en un entorno clínico real.
Diseña Tu Propio Contenido Educativo
Crea ejercicios a medida para satisfacer las necesidades específicas de tus estudiantes.
Además del catálogo predefinido, ImagineMRI te ofrece la flexibilidad de diseñar tus propios ejercicios prácticos, adaptándolos a los objetivos de tus programas.
Personaliza los escenarios, los protocolos y los parámetros para brindar una experiencia educativa totalmente única.
Compatibilidad con Plataformas de e-Learning
Integra ImagineMRI en los LMS más utilizados del mercado
El simulador es completamente compatible con plataformas de e-learning como Moodle, Canvas y OpenEdx, lo que facilita su incorporación en tus programas educativos existentes. Los profesores pueden integrar el simulador como parte de su contenido interactivo, haciendo que el aprendizaje a distancia sea más dinámico y efectivo.
Descubre ImagineMRI
Solicita una demo personalizada y descubre cómo ImagineMRI puede transformar la enseñanza y el aprendizaje en Resonancia Magnética
Dirección
Calle Marina Escobar 10
47001, Valladolid (España)
Teléfono